INICIO / Notas / Científicos Explican El Misterio Del Intersticio
Notas

Científicos Explican El Misterio Del Intersticio

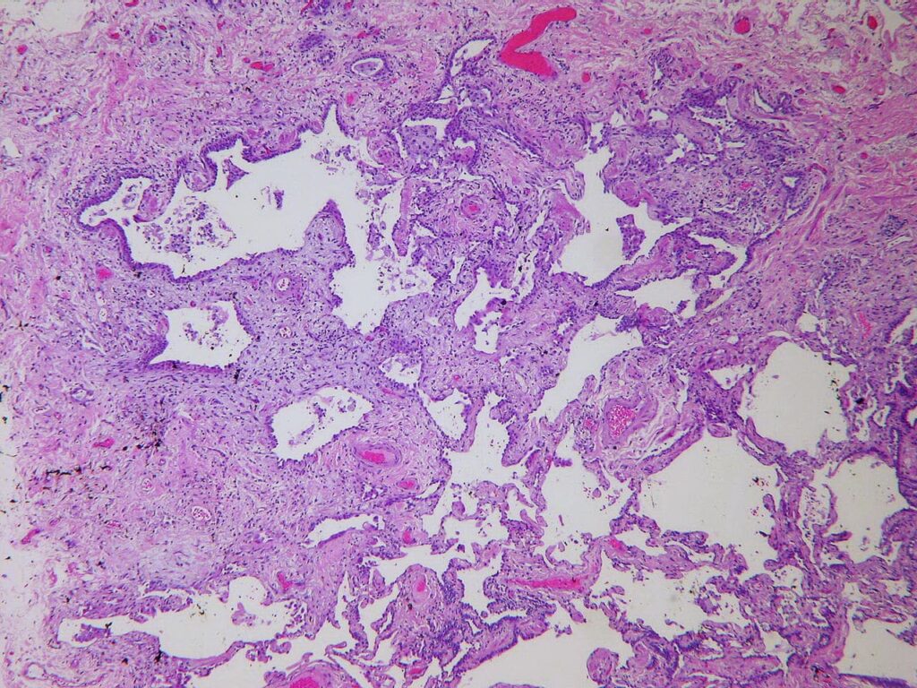
Científicos de la  Universidad de Medicina del estado de Nueva York en Estados Unidos, han identificado un  nuevo tejido conectivo conocido como Intersticio, el cual se encuentra debajo de la mayoría de los órganos más importantes de cuerpo humano, el cual tiene un papel importante en la propagación de muchas enfermedades crónicas degenerativas. Dicho estudio fue publicado el  27 de marzo en la revista Nature.

El trabajo fue realizado  por el Dr.Neil Theise y su equipo de investigación en donde utilizando endomicroscopía confocal con láser (pCLE) con fluoresceína como medio de contraste, lograron  demostrar un patrón reticular especializado de fascículos compuestos de fibras colágenas y elásticas que están revestidos por células similares a los fibroblastos, en su interior estas estructuras, están llenas de líquidos que desembocan a capilares linfáticos,

Dr.Neil Theise

Physician at Mount Sinai Beth Israel Medical Center – Icahn School of Medicine at Mount Sinai Nueva York Estados Unidos. https://www.linkedin.com/in/neil-theise-63087330/

Este patrón se repitió en los principales órganos que están relacionado con la eliminación de los desechos y sustancias en el cuerpo humano, tracto gastrointestinal ,hepatobiliar ,vejiga urinaria,  piel, sistema vascular y cardiorespiratorio.

Según un artículo publicado en Scientific Reports Estas estructuras anatómicas (intersticio) pueden ser importantes en el comportamiento de la mayoría de las enfermedades importantes como la  metástasis del cáncer, edema, y fibrosis.

🏛️ INSTITUCIONES CITADAS

NYU School of Medicine

🏛️ NYU Grossman School of Medicine

UBICACIÓN
Nueva York, Estados Unidos
ESPECIALIDAD
Patología y Biología Celular Avanzada

🔬 INVESTIGADORES CITADOS

Dr. Neil Theise
Dr. Neil Theise

Dr. Neil D. Theise

CONTRIBUCIÓN
Profesor de Patología en la NYU School of Medicine. Autor principal del estudio que clasificó al intersticio como un órgano funcional y una vía crítica para el drenaje linfático.

📚 FUENTES CIENTÍFICAS DE AUTORIDAD

Los logotipos enlazan directamente a las plataformas oficiales de las editoriales citadas. CLIERA garantiza el rigor de su contenido basándose en las publicaciones de estas instituciones.

Si te gusta... Comparte

Deja una respuesta

Tu dirección de correo electrónico no será publicada. Los campos obligatorios están marcados con *